Mieux diagnostiquer les maladies respiratoires grâce à la spirométrie 3D par résonance magnétique

Ingénierie et systèmes Santé

À travers le projet V|LF-Spiro3D, les scientifiques développent la spirométrie 3D par résonance magnétique pour l’imagerie pulmonaire. Cette technique pourrait permettre un meilleur diagnostic et un meilleur suivi des maladies respiratoires. Le tout avec un examen d’IRM réalisé en seulement dix minutes. Celui-ci est non-invasif, sûr et d’autant plus facile et confortable pour le patient qu’il est envisagé à plus bas champ que ceux d’usage aujourd’hui en routine clinique. 

Plusieurs méthodes d’imagerie médicale permettent d’explorer l’intérieur du corps des patients afin de comprendre le fonctionnement de l’organisme, mais aussi d’établir des diagnostics ou encore de vérifier l’efficacité de traitements. Pour étudier les maladies respiratoires, l’imagerie par résonance magnétique (IRM) reste encore peu utilisée, bien qu’elle présente l’avantage de ne pas être invasive, car elle ne permet pas une bonne visualisation du poumon. Toutefois, grâce à de nouvelles méthodes, cette réalité est en train de changer. En particulier, le projet V|LF-Spiro3D1 vise à démocratiser, en Europe, la spirométrie 3D par résonance magnétique développée sur des approches d’IRM haute performance et peu coûteuses2.

« En imagerie pulmonaire, l’IRM a longtemps été le parent pauvre parce qu’elle ne permet pas de voir grand-chose dans le poumon, résume Xavier Maître, chercheur CNRS au Laboratoire d'imagerie biomédicale multimodale Paris-Saclay (BioMaps3) et responsable scientifique du projet V|LF-Spiro3D. En effet, l’IRM repose sur la résonance magnétique des spins nucléaires des atomes d’hydrogène des molécules d’eau. Sauf qu’un poumon est composé essentiellement de gaz ; donc nous disposons de peu d’atomes d’hydrogène et, de ce fait, de peu de signal pour la résonance magnétique. De plus, le gaz et le tissu ayant une susceptibilité différente au champ magnétique, cela raccourcit la durée de vie du signal restant. »

En règle générale, la respiration est explorée globalement au niveau de la bouche. Ainsi, dans un service de pneumologie, la spirométrie est privilégiée pour caractériser la fonction ventilatoire. Au cours de cet examen, le patient est conduit à respirer de façon forcée et maximale à travers un embout buccal afin de mesurer le débit de gaz et d’en déduire le volume de ce gaz qui entre et sort des voies aériennes. 

« Bien que cette méthode soit simple, reproductible et non-invasive, elle présente deux inconvénients. Tout d’abord, comme la respiration est forcée pendant l’acquisition, la spirométrie standard nécessite la coopération du volontaire ce qui peut s’avérer compliqué, voire impossible, avec de très jeunes enfants ou des personnes souffrant de maladies neurologiques, par exemple, rappelle le chercheur de BioMaps. Ensuite, c’est une mesure globale, prise au niveau de la bouche, ce qui réduit sa sensibilité aux affections régionales et ne permet pas de savoir quelles sont les parties saines et les parties malades du poumon. »

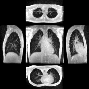
Ces inconvénients, le projet V|LF-Spiro3D entend les dépasser, avec une technique de spirométrie 3D par résonance magnétique, appelée « IRM à temps d’écho ultra-court », afin de récupérer le signal venant du poumon le plus rapidement possible, avant qu’il ne décroisse. « Nous ne sommes pas les seuls à utiliser cette technique, souligne Xavier Maître. Mais nous avons mis au point une méthode novatrice d’acquisition du signal dans le volume de Fourier (l’espace dans lequel sont recueillies les données brutes obtenues par l’IRM avant d’être spatialisées) qui nous permet de reconstituer l’ensemble des données nécessaires à la caractérisation d’un cycle respiratoire. » 

En d’autres termes, cette technique non-invasive permet d’acquérir du signal IRM pendant dix minutes au cours desquelles le volontaire va respirer librement environ une centaine de fois. Les mesures réalisées vont ensuite être rephasées dans un cycle moyen afin de disposer de suffisamment de signal pour établir, au cours du temps, une dynamique pulmonaire représentative en trois dimensions. « Cette approche permet de bien faire ressortir le système vasculaire alimentant le poumon. Celui-ci définit des marqueurs solides que nous utilisons pour caractériser les déformations du poumon au cours de ce cycle respiratoire moyen », ajoute le chercheur de BioMaps. 

De cette dynamique respiratoire 3D, il est possible de déduire la variation de volume au cours du temps et extraire les courbes débit/volume au cours du cycle respiratoire en chaque point du poumon, là où la spirométrie standard permet d’avoir cette donnée seulement au niveau de la bouche. Autrement dit, sur une respiration libre, un million de mesures régionales sont réalisées pour un volume courant de l’ordre de 0,5 µL au lieu d’une seule mesure globale qui serait faite au niveau de la bouche pour un volume courant de 0,5 L.

Une foule d’autres paramètres régionaux que le volume courant ou le débit sont obtenus grâce à la technique du projet V|LF-Spiro3D, dont le débit expiratoire pic, le volume à ce débit expiratoire pic, les débits expiratoires à 25, 50 et 75% du volume courant. Mais aussi des paramètres mécaniques tels que les expansions de volume au cours de la respiration et les élongations du poumon dans les différentes directions, ainsi que des paramètres cinétiques comme les trajectoires suivies par chaque élément de poumon au cours du cycle respiratoire.

Afin d’évaluer la répétabilité de la technique et sa sensibilité aux variations fonctionnelles, la spirométrie 3D par résonance magnétique a déjà été éprouvée au cours d’un premier protocole impliquant 25 volontaires allongés sur le dos et sur le ventre. Ce protocole a porté ses fruits et montré la dépendance à la gravité de la ventilation4. Différents centres hospitaliers en France ont exprimé leur intérêt médical pour le concept de spirométrie 3D par résonance magnétique.

Le projet est ensuite entré dans une nouvelle phase avec l’obtention d’un financement du programme Horizon Europe, impliquant une dizaine d’acteurs5 dans quatre pays européens, dont des centres de recherche, des universités, des hôpitaux et des industriels. « L’objectif est d’évaluer cette technique sur différents imageurs, dans différents centres, sur différentes maladies, le tout à champ magnétique standard, donc à 1,5 T et 3 T, détaille le responsable scientifique du projet. Mais nous souhaitons aussi amener la technique vers un champ magnétique plus bas pour la rendre plus accessible, en diminuer l’empreinte économique et écologique et éventuellement l’amener dans les services de pneumologie. »

À ce jour, la technique a été déployée sur l’ensemble des sites médicaux, 11 protocoles cliniques sont prévus et six sont déjà en cours. Plus de 600 volontaires sains et malades, adultes et enfants, vont être impliqués, représentant plus de 1 800 acquisitions. 

Des premiers résultats ont déjà été obtenus. Par exemple, chez un patient asthmatique sévère auquel une biothérapie a été prescrite, la spirométrie 3D par résonance magnétique, effectuée avant l’introduction du traitement et six mois après, a permis de constater que, même si le volume courant nécessaire pour que le patient respire n’avait pas changé suite à la biothérapie, une redistribution majeure de la quantité d’air inspirée avait eu lieu entre les cinq lobes du poumon, expliquant l’amélioration des signes cliniques et du confort de vie rapportée par le patient. « Ces informations n’auraient pas pu être obtenues avec la spirométrie standard puisque le volume global expiré au niveau de la bouche ne change pas, relève Xavier Maître. C’est une redistribution spatiale qu’on ne peut voir qu’avec la régionalisation de la mesure grâce à l’imagerie par résonance magnétique. »

 



1 V|LF-Spiro3D: Low and very-low-field 3D magnetic resonance spirometry for advanced regional exploration of respiratory diseases – European Innovation Council, subvention N°101099934 –  www.v-lf-spiro3d.eu 

2 Boucneau, T., Fernandez, B., Larson, P. et al. 3D Magnetic Resonance Spirometry. Sci Rep 10, 9649 (2020). https://doi.org/10.1038/s41598-020-66202-7

BioMaps est une unité mixte de recherche CEA/CNRS/Inserm/Université Paris-Saclay, située au Service Hospitalier Frédéric Joliot (SHFJ) à Orsay

4 Barrau, N., Duwat, A., Fetita, C. et al.Functional patterns of healthy human respiratory dynamics by 3D MR spirometry. Eur Radiol (2025). https://doi.org/10.1007/s00330-025-11838-0

5 Université Paris-Saclay, CNRS, CEA, Inserm, Institut polytechnique de Paris, École polytechnique, Institut Mines-Telecom, Siemens Healthineers, NMR Service, Université de Tilburg, Centre médical Erasmus, Hôpital Foch, Assistance Publique - Hôpitaux de Paris, Pôle de ressources en éducation thérapeutique du patient d'Île de France, Université d'Aberdeen