Une nouvelle cible thérapeutique pour lutter contre les addictions ?

Communiqué de presse Vivant Santé

L’addiction aux drogues est une maladie psychiatrique pour laquelle aucun traitement pharmacologique à l’efficacité durable n’existe aujourd’hui. Une caractéristique commune à toutes les substances addictives est d’augmenter la concentration d’un neurotransmetteur, la dopamine, au sein des régions cérébrales qui forment le circuit neuronal de la récompense. Cette augmentation altère durablement les transmissions cérébrales dépendant d’un autre neurotransmetteur, le glutamate, ce qui engendre des comportements addictifs.

Dans une nouvelle étude, une équipe internationale, impliquant notamment1 des scientifiques du Laboratoire de maladies neurodégénératives - LMN (CNRS/CEA/Université Paris-Saclay), dévoilent, chez la souris et chez l’humain, les bases moléculaires responsables de ce dialogue néfaste entre la dopamine et le glutamate. Leurs travaux montrent que le blocage des interactions entre les récepteurs de la dopamine et ceux du glutamate protège des comportements pathologiques provoqués par la cocaïne chez la souris, sans altérer les comportements guidés par une réponse naturelle.

Ils ouvrent ainsi la voie au développement de nouvelles stratégies thérapeutiques pour traiter l’addiction, mais aussi pour un plus large spectre de troubles psychiatriques. Ils sont publiés dans la revue Science Advances le 20 octobre 2021.

  • 1Ainsi que du laboratoire Neurosciences Paris-Seine (CNRS/Sorbonne Université/Inserm), de l’Institut de pharmacologie moléculaire et cellulaire (CNRS/Université Côte d’Azur), et du laboratoire Nutrineuro (Inrae/INP Bordeaux/Université de Bordeaux).
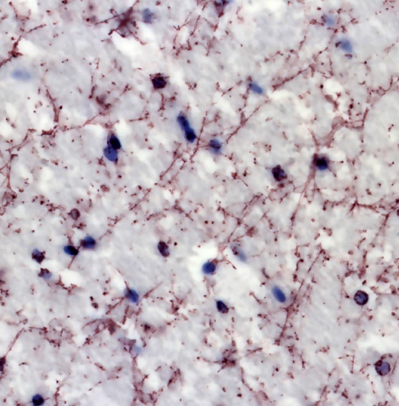
Détection de la proximité entre récepteurs à partir de tissus post-mortem humains. Le signal de proximité entre récepteurs correspond au marquage de couleur brune.© Andry Andrianarivelo et Peter Vanhoutte - Laboratoire Neuroscience Paris-Seine (CNRS/Sorbonne Université/Inserm)
Bibliographie

Disrupting D1-NMDA or D2-NMDA receptor heteromerization prevents cocaine’s rewarding effects but preserves natural reward processing. Andry Andrianarivelo, Estefani Saint-Jour, Paula Pousinha, Sebastian P. Fernandez,Anna Petitbon, Veronique De Smedt-Peyrusse, Nicolas Heck, Vanesa Ortiz, Marie-Charlotte Allichon, Vincent Kappès, Sandrine Betuing, Roman Walle, Ying Zhu, Charlène Joséphine, Alexis-Pierre Bemelmans, Gustavo Turecki, Naguib Mechawar, Jonathan A Javitch, Jocelyne Caboche, Pierre Trifilieff, Jacques Barik, Peter Vanhoutte. Le 20 Octobre 2021, Science Advances. https://www.science.org/doi/10.1126/sciadv.abg5970